Advanced Neurotechnology Meets Personalized Brain Optimization
Integrating QEEG, Neurofeedback, Alpha-Stim, and Photobiomodulation for clinical-grade outcomes in mental health and peak performance.
The Opportunity
As biohacking practitioners, we know clients are seeking more than symptom management—they want root-cause solutions and measurable brain optimization. The challenge? Integrating multiple modalities into a cohesive, clinically effective protocol that delivers sustainable results.
The Approach
A Comprehensive Neurotechnology Protocol
Brain Coach LLC has developed a proven integrative framework combining five complementary modalities with expert clinical oversight:
- QEEG Brain Mapping for precision diagnostics and protocol design
- Neurofeedback Therapy for targeted brain training and self-regulation
- Alpha-Stim CES for anxiety, insomnia, and HPA axis support
- Photobiomodulation for cellular brain health and neuroprotection
- Ontological Coaching grounded in psychology and neuroscience
This approach leverages neuroplasticity to address dysregulation patterns at their source, creating measurable, lasting changes in brain function and behavior.
Why This Matters for Your Practice:
- Drug-free alternatives for complex cases
- Protocols for conditions often resistant to single-modality approaches
- Measurable outcomes through objective brain mapping
Clinical Focus Areas
Mental Health & Neuropsychiatric Conditions:
- Anxiety Disorders & Depression
- PTSD & Complex Trauma
- Autism Spectrum & Asperger’s
- ADHD & Executive Function Deficits
- Emotional Dysregulation
Cognitive Optimization & Rehabilitation:
- TBI & Concussion Recovery
- Memory Disorders & Brain Fog
- Age-Related Cognitive Decline
- Sleep Architecture Optimization
Peak Performance Applications:
- Executive & Entrepreneurial Performance
- Athletic Performance Enhancement
- Flow State Training
- Cognitive Longevity Protocols
Services
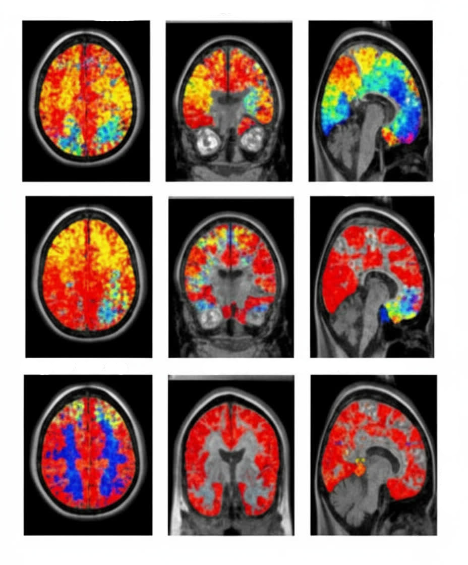
QEEG Brain Mapping & Quantitative Analysis
19-channel brain mapping provides objective data on cortical dysregulation, connectivity patterns, and frequency band abnormalities. Creates individualized training targets and tracks progress quantitatively.
Alpha-Stim Cranial Electrotherapy Stimulation
FDA-cleared microcurrent technology for anxiety, insomnia, and depression. Complements neurofeedback by supporting HPA axis regulation and can accelerate training outcomes. Particularly effective for treatment-resistant cases.
QEEG Brain Mapping & Quantitative Analysis
19-channel brain mapping provides objective data on cortical dysregulation, connectivity patterns, and frequency band abnormalities. Creates individualized training targets and tracks progress quantitatively.
Clinical Neurofeedback
Evidence-based protocols using operant conditioning to retrain brain wave patterns. Effective for ADHD, anxiety disorders, PTSD, TBI recovery, and performance enhancement. Real-time feedback enables precise self-regulation training.
Photobiomodulation (Red/NIR Light Therapy)
Transcranial and systemic application to enhance mitochondrial function, reduce neuroinflammation, and support neurogenesis. Pairs synergistically with neurofeedback for cognitive enhancement and neuroprotection.
About Dr. Sunita Punjabi
Clinical Expertise Meets Cutting-Edge Neurotechnology
Dr. Sunita Punjabi, founder of Brain Coach LLC, has specialized in neuroplasticity and biofeedback applications, bridging clinical psychology, neuroscience, and advanced biohacking technologies.
Credentials:
- Ph.D. in Psychology
- Master’s in Counseling
- Certified Life Coach
- Clinical experience in neurofeedback and brain optimization
Clinical Philosophy: Dr. Punjabi’s approach focuses on identifying and addressing root-cause dysregulation rather than symptom management. She integrates the latest peer-reviewed research in neuroplasticity, ontology, and psychophysiology to create highly individualized protocols.
Commitment to Innovation: “We are constantly advancing our care with new research and technologies, offering the best, most effective possibilities for healing and optimization.”
Serving clients throughout Texas and remotely worldwide.
Outcomes & Clinical Validation
Evidence-Based, Measurable Results
Our multi-modal approach achieves outcomes in cases where single interventions have plateaued:
- Objective verification through pre/post QEEG comparison
- Sustained improvements due to neuroplastic changes vs. temporary symptom suppression
- Reduced reliance on pharmaceuticals for clients seeking alternatives
- Enhanced protocol efficacy through strategic modality stacking
Key Performance Indicators:
- Improved brain wave regulation and connectivity
- Enhanced focus, mental clarity, and processing speed
- Increased stress resilience and emotional regulation
- Optimized sleep architecture and recovery
Clinical Success in Complex Cases: Conditions previously considered treatment-resistant or requiring lifelong medication management now show significant improvement through targeted brain training and cellular optimization.
Connect With Dr. Punjabi
Let’s Explore Collaboration Opportunities
Whether you’re interested in:
- Referral partnerships for complex cases
- Consultation on integrating neurotechnology into your practice
- Protocol design support for specific client populations
- Knowledge exchange on emerging biohacking modalities
Dr. Punjabi welcomes conversations with fellow practitioners advancing the field of brain optimization.
Ongoing Collaboration:
📞 (210) 332-5298
🌐 braincoachtx.com




